2 Comments

Snowflakes to Snowmen

I must give credit where credit is due, my brother-in-law Shawn told us after we announced that we were pregnant that he was no longer praying for snowflakes but for snowmen! Ricky and I just loved it! Thanks Shawn.

Ricky and I had our 11 week ultrasound yesterday and the twins are doing great! They were moving so much the doctor couldn't get them in the save picture. We graduated from the fertility clinic and I got to stop all my hormone supplements!!! YAY! We have our first OB appointment at 14 weeks on October 21st.

Thank you so much for all your prayers and support. The reality of needing two of everything is setting in, but we are thrilled.

We continue to pray for God's protection for the twins, a healthy pregnancy and healthy babies.

Stop by the blog www.peasefamily,net for pictures of the twins snowmen progress and our graduation gift from the fertility clinic.

2 Comments

2 Comments

Double Trouble

Ricky and I had our 6 1/2 week ultrasound this morning and we learned we are expecting twins! Both babies had a heartbeat that we could see on the ultrasound and measured well.

We have our next ultrasound in 2 weeks.

Many people have asked how I'm feeling, I am experiencing some pregnancy symptoms mostly fatigue and nausea. I am grateful to be symptomatic as reassurance that our little ones are growing!

Thank you for your ongoing prayers. Please continue to pray for them as they grow, that I would be able to carry these little ones to term.

Ricky and Angela

2 Comments

2 Comments

Due Date

Ricky and I are thrilled to announce that we are 4 1/2 weeks pregnant! My HCG on Saturday doubled from our initial beta test on Thursday. We had repeat labs again this morning and my HCG doubled again!!!

We were told its all about the rise :).

On Saturday the nurse used the wheel and shared that we are due on 4/21/16.

We have ultrasound at 6 1/2 weeks, Monday August 31st where we will be able to see the "flicker" of the heartbeat and find out how many babies I am carrying.

So far I feel great, I have noticed that I am a little more tired than normal. I napped Saturday and Sunday and if you asked Ricky I am not a good napper unless I'm tired.

We have received countless emails and text messages sharing in our joy and congratulating us. Thank you!

We would welcome your ongoing prayers for our babies (we are going to work on the assumption that we are having twins until proven otherwise). We are praying that God would form a hedge of protection around the babies, that they would continue to grow and that I would be able to carry them to term.

I don't have any appointments at the fertility clinic between now and then! That will feel weird. Pray for peace for Ricky and I that we would trust that our babies are safe and growing.

2 Comments

1 Comment

Ricky and I wanted to share that we got the most amazing phone call this morning! We are going to be parents!!! YAY!

Our beta test was positive!!!!!! We were both overcome with joy and started to tear up with tears of joy. Our nurse shared that my HCG level is great! Which is so encouraging. This of course is only the beginning of the journey. THANK YOU FOR ALL YOUR PRAYERS, ENCOURAGEMENT AND SUPPORT!!!!

Please continue to pray for the baby or babies to grow and mature. For God to protect them and that I would be able to carry these little snowflakes to term.

We covet all your prayers for Ricky and I and these precious little ones. We have not been told our due date yet, but using the power of the internet baby Pease should arrive April 2016 (but we will have a more concrete date soon).

We are thrilled beyond words. I feel as those the words in the English dictionary are not sufficient for how we feel. Wonderful, amazing, incredible just do not seem adequate.

The next steps are labs on Saturday and again on Monday to check my HCG level and make sure that it following the expected course.

1 Comment

Comment

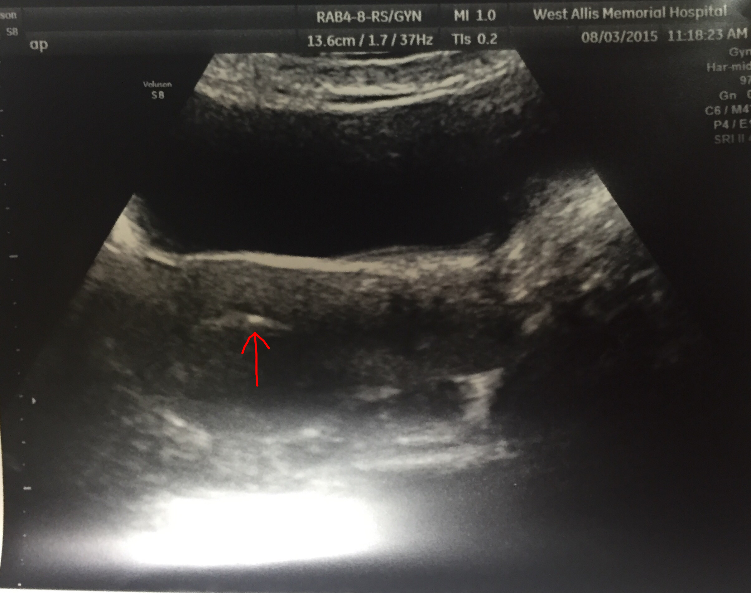
Transfer Update

I can hardly believe it is August 3rd already! For anyone who follows us on social media they know that we had lobster Fra Diavolo for dinner last night! We bought frozen lobster tails and conquered the intimidating task of cooking them. Why lobster you may ask? Our acupuncturist has made several recommendations about diet changes. Eating lobster was one of his recommendations. It felt easy enough, after you conquer the daunting task of cooking lobster living in the midwest, far, far, away from the ocean.

I'm sure you are all dying to know how the transfer went. Things went really well this morning. They only had to thaw 2 of our remaining 3 embryos! Which means we stil have 1 remaining frozen embryo. Both embryos were grade A when frozen and where considered grade A, good + after thawing (the best grade they can be). I had acupuncture before and after the transfer, which certainly helped me relax. The transfer itself went really well, our doctor was really happy with the embryos, how well my body was prepared (better than last time) and the placement of the embryos.

This morning the YouVersion verse of the day was: "And after you have suffered a little while, the God of all grace, who has called you to his eternal glory in Christ, will himself restore, confirm, strengthen, and establish you" 1 Peter 5:10 ESV

That was honestly the perfect reminder at the perfect time. Ricky and I prayed out loud this morning as we drove to the hospital. We know that many of you have been joining us in prayer, thank you.

Blessings, Angela and Ricky

Comment

Comment

Round Two

Good afternoon,

I had my final ultrasound and labs this morning (Monday July 27, 2015) prior to our transfer. My lining is measuring 1 mm thicker than last week and was looking very uniform. This is really encouraging since in the past there has been an area that does not thicken up due to the scar tissue.

I am still very apprehensive about the transfer and what the results will be, but my heart is so encouraged by how well things are going this time around.

I titled this update round two since this will be our second transfer. The earlier set-backs when we were preparing for transfers were also difficult and took an emotional toll on both Ricky and I but they did not result in a transfer.

I didn't share this last week, but I was encouraged by a fellow snowflake mom (the adoption agency we are using calls the embryo adoption branch Snowflakes and the babies born snowflakes) to try our local Resolve support group. Resolve is a national infertility support group. I attended the July meeting and have gottem plugged into the facebook group where woman asks questions, reach out for support and share updates about their journey with infertiliy.

Since that meeting another Christian woman is trying to organize a book/Bible study for anyone who is interested. So far that are about a dozen women, myself included, interested in the study.

I hope you are still reading, if you are, our transfer is scheduled for 10 AM next Monday 8/3/15 with acupuncture at 9 AM.

Ricky puts all of these updates on our blog www.peasefamily.net Last week I talked to him about adding some pictures! If you haven't checked the blog out lately we added some pictures from the family weddings over the last 9 months, plus a bonus picture from close Pease family friend's wedding in New Hampshire.

So much has happened in our lives since we started this journey, I thought it would be fun to share it :). Since Ricky coded the blog himself it is very "nerdy" and I do not know how to update it myself or I would have already sprinkled pictures with life updates that corresponded with our posts. He has now made it so I can add my own updates!

Thank you to those of you who shared their prayer requests last week! Know that Ricky and I are praying for you. Please continue to share the ways that we can be praying for you.

Comment

Comment

Moving Forward

Ricky and I have been doing well. This past Saturday my sister Anna got married! That was the 3rd wedding in 9 months for my family.

This morning I had an ultrasound, and my lining is the thickest it has ever been at this stage! (I have been told there is no such thing as too thick) I continue to see the acupuncturist as a way to help support the efforts of the fertility clinic. I am going twice a week, so that has been a big time commitment for me the past month. Ricky and I have no idea what the outcome of the next several weeks will hold, but I can tell you we continue to try to walk in faith. We prayed about it and sought wise council and felt that the door to continue in the journey of embryo adoption was still open. As I shared before, I talked to our fertility doctor and shared that we wanted to be parents that I did not need to be pregnant. Her response to that was that she felt that we should try again with our 3 remaining embryos.

I am encouraged by the results of today’s ultrasound but trying to guard by heart. The past 7 months have been filled with ups and downs and the Pease household has had its fair share of disappointment.

Thank you all for your going prayers and support! As we move through this journey we recognize that you have things going on in your lives, how can Ricky and I be praying for you?

Hard to believe that our transfer is scheduled for 2 weeks from today!

Comment

Comment

Pregnancy Test

Yesterday morning at 7 AM I had my blood drawn for our beta pregnancy test (serum HCG) as well as estradiol and progesterone.I’m sure you have all had phone calls where you know the outcome before someone tells you because of their tone or how they start the conversation. The phone call yesterday at noon was no exception! I knew right away what the result was going to be, not pregnant. The nurse went on to share that my HCG level was less than 1 and we are not pregnant. She told us she had our other lab results but at this point they were irrelevant. I wrote down the lab level while she was talking. I’m not sure why? But I did. I felt stunned, a minute or two before I got the call Ricky had texted me that he had arrived for lunch. We had made plans to have lunch to try to get the news together. Seconds after I hung up the phone he was standing standing in front of me. We are grieving, this is loss for us. We very much want to be parents and for 10 days thought we were pregnant. Ricky talked to the babies at least once if not twice a day everyday. I had my ups and downs with emotions and the hormones but for the most part we were walking in faith believing we were pregnant. We prayed several times a day together, out loud for the babies to grow and be healthy full term babies.

We started sharing the news yesterday that we were not pregnant. A good friend of ours shared with Ricky that the best analogy for these situations is planning for graduation day and then being told you have to go back to freshman year! No matter what the next steps are we are starting over. We are going to take some time to grieve and have decided our next step for now is meeting with our fertility doctor. I do not (we do not) want to continue to try to have a family through embryo adoption if our doctor does not think she can get us pregnant.

We are so blessed to have so many people supporting us, loving us, taking this journey with us, praying for us and our future children. Thank you! I have been reminded lately of the verse in 1 Samuel 1:27 - For this child I prayed, and the LORD has granted me my petition that I made to him. I believe that Ricky and I will be able to say that someday. It may a while before there are anymore updates to share since Ricky and I are allowing ourselves time to grieve before making a decision about next steps.

Comment

Frozen Embryo Transfer Update

1 Comment

Frozen Embryo Transfer Update

I am writing from our couch. Since Ricky is doing strict patrol of “taking it easy”. He already made me lunch and is planning on taking care of dinner. Although strict bedrest is not required. I have attached the picture of our two embryos that they transferred this morning. They thawed our 2 vitrified embryos first, but one did not survive the thaw. They thawed one of the slow frozen embryo’s and it survived beautifully! Both were grade A embryo’s and the embryologist, her name is Amy, seemed very pleased. My labs are right were they want them to be and they found a nice cozy spot to put them today. They use a unique way to calculate our due date and we will learn more about that after the first pregnancy test.

We did not know we were going to get a picture of our embryo’s today and it is simply amazing! They walked us through the cells that will grow to become the baby and the cells that grow to become the placenta. God is so amazing! What an amazing awesome Creator we serve. Ricky and I are praying this is our first picture of our baby(s).

The fertility clinic continues to support my body with medications through the first trimester of pregnancy. We are praying that God has formed a hedge of protection around our precious children and they the can mature and grow and that I can carry them to term! We received many emails and text messages today morning encouraging us. Thank you!

Blessings, Ricky and Angela

1 Comment

Comment

Frozen Embryo Transfer Date

Ricky and I got back last night from a relaxing vacation in Hilton Head, SC. The weather was perfect, mid 80s and blue skies. We enjoyed several lovely dinners, relaxed by the pool and went kayaking through the salt marsh where we saw dolphins!

We had our last scheduled ultrasound before the transfer today and we are 100% nothing standing in our way ready for the transfer this Tuesday. Under normal circumstances you don’t share the date and time of your pregnancy. A lot of woman don’t even share that they are pregnant until the end of the first trimester. But we have talked about it and covet all your prayers and support. The transfer is scheduled for Tuesday 5/26/15 at 11:30 AM, mark your calendars if you are a calendar marker!

To be honest it is still very surreal given all the ups and downs we have had up until this point. Of course we are thrilled to be taking this next step to grow our family.

Thank you for your ongoing prayers and support.

Comment

Comment

Quick Update

Ricky and I just wanted to share where we are in the process. Last week we started the preparation for the frozen embryo transfer. We were surprised to learn our fertility doctor wanted to switch me to IM estrogen. We had not discussed this early in the process so we were a little surprised. I expressed some concerns regarding starting something new so late in the game, but I was assured that they felt this was best. I had my first ultrasound and labs on Monday and things looked good and they were really happy with my labs. So maybe the IM estrogen is doing the trick?

Ricky and I are mostly all packed up and ready for our vacation. We are really looking forward to a few days together to relax together. Tuesday we celebrate our 3rd wedding anniversary. We feel blessed in so many ways and continue to trust in God’s plan for our lives and our family. We are praying for God to continue to orchestrate the details of our life for His glory. We are also praying if it is in His plan to prepare my body for a successful pregnancy.

Comment

Comment

Emotional Roller Coaster

Yesterday was the first day of spring! Ricky I had have not updated you this week because we wanted to be 100% sure the transfer was happening on Tuesday as planned. This past Tuesday we had a doctor’s appointment and our doctor saw some fluid on the ultrasound but thought it might be mucus and would go away by adding the progesterone which we started on this past Thursday. She scheduled an ultrasound for this morning to check on things. Unfortunately it was another set back. The fluid was still there :(. She walked us through what she was seeing and explained that the fluid was there last time we were almost ready for the January transfer but that she thought it was related to my high estrogen levels. She further explained that it has been in the same place both times (anatomically speaking). She is concerned because she does not know how it would affect the success of the transfer. The good news is there is a plan.

(Disclosure, I do not know how to explain this without talking about the specific areas of concern, so if you don’t want to know about female reproductive organs feel free to skip this part.)

She wants to do a hysteroscopy. Up until this point she has always done a sinohistogram where you use saline and an abdominal ultrasound to visualize the uterus. I have had three singohistograms in the last year and she has never seen anything concerning. But then we get to this point, within days or weeks of the transfer and the fluid is there. For a hysteroscopy she will go inside the uterus with a scope to get a better view. The down side is, we have to start over, no transfer on Tuesday :(. Some may ask, why not do the hysteroscopy now? We asked that also, and were told we need to wait. The hysteroscopy has to be done on cycle day 5-10. She will fix anything that can be fixed during the hysteroscopy. If she doesn’t see anything that can be fixed we would proceed with the transfer even the fluid would return.

(For those of you heeding the warning of the disclosure. It is now safe to continue reading.)

This process is harder than we ever imagined. Ricky has been coming into the exam room for my ultrasounds to be able to support me and hear the updates from the doctor first hand. Though he is not writing this email our fertility doctor got choked up and gave me several long hugs this morning sharing in our disappointment. It was really a special moment for me. We have built a relationship with her and it is clear she has our best interest at heart and wants to see us succeed and grow our family. Being in medicine helps me, because I would want to understand and fix something unusual like this.

We continue to try to walk in faith and trust that God has a plan. Thank you all so much for your continued prayers and support. Praying to grow our family in God’s timing and for baby Pease in 2016.

Comment

Comment

Prayer Warriors and Baby Aspirin

I can hardly believe today is March 10th! This morning I had my extra lab draw and ultrasound at the fertility clinic. Ricky and I have been praying that God prepare my body for a successful pregnancy. We were hopeful today was going to be good news. It was not necessary bad news but it was not good news either. My estrogen level is still high, about 5x higher than they would like it to be. They are going to do more labs and another ultrasound on Friday. It is not just about the blood levels but also how my body responds so no decision has been made as to wether we would need to start over again. They are adding a daily baby aspirin. I will be in touch with the fertility clinic tomorrow as Ricky and I have a few unanswered questions about the plan moving forward.

We are asking for prayer. This journey has been more difficult than we could have ever imagined. As always we will keep you posted with updates throughout the upcoming days and weeks.

Comment

Comment

Progress

Ricky and I are excited to share that we have begun the progress toward our frozen embryo transfer! After waiting 1 month and 1 day we were able to get the good news that we can restart the hormone cycle again. We found out yesterday that we got to restart the cycle today. We were pleasantly surprised to learn that it would be so soon. We feel blessed to have some dates on a calendar, medications arriving via mail-order and doctors appointments in the up coming days and weeks. As long as everything goes as planned our frozen transfer will be on Tuesday March 24, 2015.

We were encouraged by a fellow snowflake family that they had to go through 3 different hormone cycles before their first frozen embryo transfer. I was encouraged to know that other families have had some of the same set-backs and heartaches that we. We were also encouraged to know that in the end their first transfer resulted in a healthy pregnancy. Our biggest prayer is that God will prepare my body for a successful pregnancy.

Comment

Comment

Waiting

During this time of waiting, I wanted to share with you how far we have come! Some of this is for Ricky and I as a reminder of the journey and how God has been faithful as we have trusted him with our family.

March 11, 2014 - Informational Adoption Meeting with Bethany Christian Service

Early March 2014 - Decision to Purpose Domestic Adoption and completed preliminary domestic adoption application with Bethany

March 19, 2014 - meet with Bethany social worker

A little background to the above meeting. Ricky and I thought we were about to start the domestic adoption journey that evening. We left (or at least I left) with a feeling of uneasiness and without peace. As we were about to walk out the door of the adoption agency the social worker mentioned embryo adoption and asked if we were sure that wasn’t an option for us? We quickly answered that we had previously purposed fertility options and we were fairly confident we could not afford it. She encouraged us to purpose embryo adoption. We drove home from the office in Waukesha, WI and discussed our options and we ended up on the couch together reading about embryo adoption. That next week we sent several emails inquiring about embryo adoption and realized it was financially within our reach!

April 21, 2014 - Consultation with our fertility doctor regarding embryo adoption

End of April 2014 - Formal Embryo Adoption Application with Nightlight Christian Adoption Agency (Snowflakes program)

May 14, 2014 - Sinsohistogram and labs at the fertility clinic

June - July, 2014 - Bethany Home Study

June 11, 2014 - First home study meeting with Bethany Christian Services

July 11, 2014 - Establish care with an OB/GYN

Summer 2014 - work on Adoption Profile

August 25, 2014 - Matching interview with Snowflakes

September 5, 2014 - First potential match

September 10, 2014 - Decision to decline the first match

September 23, 2014 - Second potential match

September 24, 2014 - Decision to decline the second match

October 7, 2014 - Third potential match

October 8, 2014 - Decision to accept the match!!!!!

October 16, 2014 - Received the Embryo adoption agreement

October 20, 2014 - Notarize embryo adoption agreement

November 20, 2014 - Sign consents at the fertility clinic

December 3, 2014 - The embryo’s arrived at our fertility clinic

December 4, 2014 - Sinohistogram and more consents at the fertility clinic

January 7, 2015 - Learned we needed to start the hormone cycle for the frozen embryo cycle over

Of course there are some steps in between December 4th and January 7th but I will share you every doctors visit and the details of the medication schedule. It has been quite the journey the last 9 months! We are patiently waiting for what is in store next!

Thank you for your continued prayers and support. We continue to receive kind words, emails and cards of encouragement. Thank you all so much!

Comment

Comment

Thanks

Ricky and I just wanted to say thank you so much! We have received so many texts, phone calls and emails of your encouragement and prayers for us as we continue on this journey. We were hoping that next week would mark the end of 1 chapter and the start of another, but this chapter has a few more pages to be added before the chapter ends.

Several of you have shared encouraging scripture and I wanted to share them since they have been an encouragement to us:

Romans 12:12 Rejoice in hope, be patient in tribulation, be constant in prayer. (ESV)

Proverbs 3:5-6 Trust in the Lord with all your heart, and do not lean on your own understanding. In all your ways acknowledge him, and he will make straight your paths. (ESV)

Psalm 117 Praise the LORD, all nations! Extol him, all peoples! For great is his steadfast love toward us, and the faithfulness of the LORD endures forever. Praise the LORD!

I have shed less tears and have experienced less waves of sadness today, praise the Lord for His comfort and strength when we are weak and cannot do it on our own. We are still disappointed and sad but we are so overwhelmed by the outpouring of love, supports and prayers from our community. We are looking forward to sharing the good news that we are beginning the hormone cycle again and have a new transfer date.

Comment

Comment

He is Sovereign

Hello, Ricky and I wanted to share an update as to where we are in the process. I will warn you that I am writing this through tear filled eyes, so it is disappointing news. We had an ultrasound and labs last Friday and were told that things looked OK but that my estrogen level was very high. They were going to have me stay taking the low dose estrogen only 2 times per day and not increase the dose as planned to three times a day and I was thrilled! No noon estrogen. Today was going to be our last ultrasound and labs before the scheduled transfer. It was scheduled for Wednesday January 14, 2015 at 11 AM. I had my labs and then went into the exam room for the ultrasound. Dr. Shanti walked in the room and told me she didn’t like how high my estrogen level was and that we may need to, and most likely would need to start my hormone cycle over. They were not as happy with how the ultrasound looked, but they got us ready for the IM injections that would have started on Friday and went over the details of the transfer just in case. They told us they would call when they had the labs results and had a chance to look everything ever. They called this afternoon and told us my estrogen level was essentially unchanged from Friday and that we do need to start over with the hormone cycle. We are of course, devastated.

So what does this mean? It means starting over. I need to get my period (I hope this isn’t too much information, but it is difficult to explain the timeline without it) and call fertility clinic. They will give me a new calendar that includes 21 days of birth control starting from the beginning with my subq Lupron and labs and ultrasounds. The cycle is approximately 2 months long.

Many tears have been shed today. We felt completely unprepared for this result. We had every expectation walking into the clinic this morning that we were having our last routine ultrasound before the transfer. I have had time to process this and I feel somewhat blessed that I didn’t know there might have been a problem on Friday since I would have worried about it and thought about it until the appointment today.

We feel blessed that our doctor wants to give us the best change for success and is not wiling to proceed with the transfer if conditions are not the best we can possibly make it. She told us this morning that there goal is to get us pregnant and that they share in our disappointment. Ricky and I feel loss and are recovering from the surprise news that we need to start the hormone cycle over. We know that God is sovereign and has a plan for our lives. We know He loves us and loves these babies. We feel grief now instead of excitement. We had so much anticipation and joy for next week. I was counting down the days until the transfer. Now we have to wait to be able to count down months, then weeks, then days.

The second time will feel different, more cautious and guarded after disappointment this time. Throughout the day I have felt waves of sadness and have shed many tears. We are comforted that the doctor has wisdom and is striving with us to give us a family.

Thank you all very much for your love, prayers and support. We will continue to give you updates as we move forward in this new hormone cycle and as we get a new transfer date.

Comment

2 Comments

Firsts and Lasts

The last week has been filled with firsts and lasts. Last week Friday I started by subq injections, so far so good! I have taken an oral birth control pill as my hormone replacement therapy since Spring of 2005 and I took my last one (at least for now) tonight. In the weeks leading up to the frozen embryo transfer our days our filled with more firsts, more new medications, and more ultrasounds (although we have done several of those now so you really can’t consider those firsts). We signed all the paperwork at the fertility clinic and things are all set for January 14th. Our fertility doctor shared with us that the doctor in Michigan that worked with the embryos we adopted was her resident during her fellowship! God is so good!

Ricky and I would also like to share some of the ways we have seen God’s faithfulness and blessings to us in the process:

Homestudy - we are so blessed that they reduced the price of the home study by $1,000

Frozen embryo transfer - another financial blessing that the cost was reduced by $1,500

Payment program - the old payment program was only 3 months. They are now doing a 12 month payment program

2 Comments

Comment

Babies Are Here

Ricky and I are beyond thrilled to share that the embryo’s are here! We got a call today from the embryologist at the fertility clinic that everything went well with the transfer from Michigan and they are safe in the cryo bank at our fertility clinic. We have a tentative date for the frozen embryo transfer as well. Over the next several weeks there are ultrasounds, new medications including shots (both subcutaneous and IM) and blood work for me in preparation. Ricky is a little nervous to give the shots. As long as everything goes well the frozen embryo transfer date is January 14, 2015!

There is something truly moving about knowing our babies are safe and that soon we will get to watch them grow in my womb and grow as children. We covet all your prayers and support. Please continue to pray for God’s hand of protection to be on the embryos. Also that He will guide the doctors and nurses involved. We know that God has a plan for our family.

—Angela

Comment